Esthetic gingivectomy is a procedure which is prescribed when the gums are covering part of the tooth. This can help teeth that look ‘short’ or smiles that seem ‘gummy’.
Everybody has unique oral features, including their gums. Some people have gums that cover more of their teeth, while others struggle with receding gums. In both cases, a gingivectomy, removal of gum tissue, could improve the situation.
Whether you’re looking for treatment of gingivitis or simply a cosmetic improvement, it helps to understand the gingivectomy process. Read on to learn more about your options and what to expect.
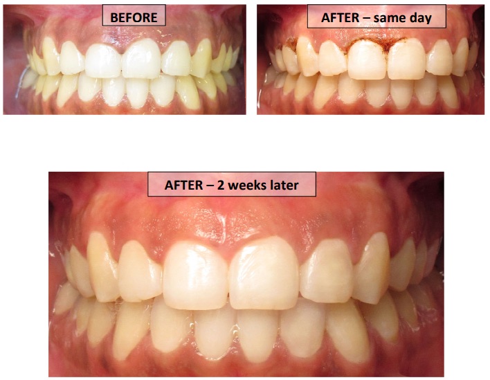
Gingivectomy Before & After

Who Benefits from a Gingivectomy?
A gingivectomy can help people struggling with gum recession due to gum disease, aging, injury, or bacterial infections. It can prevent further gum damage and make cleaning easier for you and your dentist.
Though most dentists don’t recommend it, you could choose to have an elective gingivectomy for purely cosmetic reasons. People with too much gum tissue may not like their smiles and see the gingivectomy as a way to improve their appearance. Again, gingivectomies for purely aesthetic reasons are not necessarily recommended because there are always risk factors to consider.
Read more: Restore Your Smile: Crowns, Bridges, Implants and Affordable Dentures
The Gingivectomy Procedure & Process
Generally, a gingivectomy takes anywhere from half an hour up to an hour depending on the amount of gum tissue to be removed. If only a few teeth require work, it could require just one session, while more involved procedures could take a few visits with time to heal between them.
The process begins with local anesthesia to numb the area. Using either a gingivectomy laser tool or scalpel, your dentist cuts away the gum tissue. Expect your dentist to keep a suction tool in your mouth to remove excess saliva while they work.
Your dentist may also use a special laser to remove the remaining tissue and shape your new gum line. Finally, they will apply a soft, pliable substance and bandages to your gums for protection during the healing process.
Which is Better: Gingivectomy Laser vs Scalpel?
Advancements in laser technology have created a cheaper, more effective surgical option, especially for oral procedures. Dentists can do more precise work with a laser. Gingivectomy laser procedures also heal faster due to the cauterization and reduce the chances of infection.
While laser procedures tend to be more expensive than scalpel gingivectomies, the gap narrows more every year. However, you may want to check with your insurance provider to make sure they cover a laser procedure before choosing that route.
Which is Better: Gingivectomy or Gingivoplasty?
It’s sort of a trick question because they are so closely related. While a gingivectomy refers to gum tissue removal, a gingivoplasty involves the reshaping of gum tissue for better oral health. Gingivoplasty isn’t as common for treating gum disease, but it may help with some genetic conditions.
Summary:
The gingivectomy procedure involves the removal of gum tissue and typically takes around half an hour to an hour, depending on the extent of tissue to be removed. Local anesthesia is used, and either a laser or scalpel is utilized for the gum tissue removal. The use of a laser can lead to faster healing and reduced infection risk. While the cost of laser procedures is higher, it’s becoming more competitive with traditional scalpel gingivectomies. Gingivectomy focuses on tissue removal, while gingivoplasty involves reshaping gum tissue for improved oral health, though it’s less commonly used for gum disease treatment.
Gingivectomy Healing & Recovery Time
Like many oral procedures, you can expect a fairly quick gingivectomy healing process, usually around a week. Since your dentist only uses local numbing agents, you should be able to go home right afterward. Healing after a gingivectomy could include:
- Taking over-the-counter pain relievers to manage any pain
- Changing bandages for a few days until the bleeding stops
- Eating soft foods for a few days
- Warm salt water rinses to clean out bacteria and debris
You may experience some jaw pain and facial swelling. If you do, apply cold compresses to your cheeks. Contact your dentist if you experience excessive pain, bleeding for more than a few days, or any signs of infection.
Read more: Everything You Need to Know About Dentures: Types, Costs, Care, and Alternatives
How Do I Know If I Need a Gingivectomy?
Your dentist is the best person to tell you if you could benefit from a gingivectomy. Some people get a gingivectomy after braces if their orthodontist suggests it. Dental professionals can tell you if you would benefit from the procedure and explain the pros and cons of having it done.
The biggest benefit of having a gingivectomy is improving your oral health. Of course, regular preventative care check-ups are your best chance at avoiding these procedures. Your dentist can catch potential issues early and hopefully prevent you from developing gum disease altogether.
If you’re due for a check-up, Jefferson Dental & Orthodontics can help. Book an appointment at the office nearest you!